Search Menu Globe Arrow Right Close

September 2019 Case

Authors

Daniel Manzoor, MD (PGY-3); Fabiola Medeiros, MD (Faculty)

Subject: Placental Pathology
Clinical History

This is a 37-year-old female (gravida/para unknown) with an intrauterine pregnancy who suffered an unexplained intrauterine fetal demise at 20 weeks gestation. Chromosomal analysis was reportedly normal, as was a second-trimester ultrasound. The patient underwent dilation and evacuation and the placenta was subsequently submitted for examination. No further history is available.

Gross Findings

The placenta was received in formalin, fragmented, with an aggregate weight of 227 grams (greater than the 90th percentile for gestational age). Only a stump of the umbilical cord was present, and diffuse tan discoloration and firmness of the maternal surface was noted. A few grape-like cysts were appreciated scattered throughout the parenchyma measuring up to 1.8 cm in greatest dimension.

Figure 1: Gross image. Placental fragments showing tan discoloration and firmness of the maternal surface (red arrow) and grape-like cysts (green arrows).

H&E, 4x. Section corresponding to grape-like cyst seen grossly showing a markedly enlarged villus with a massive, cavernous cystic structure with surrounding myxoid stroma.

Figure 2: H&E, 4x. Section corresponding to grape-like cyst seen grossly showing a markedly enlarged villus with a massive, cavernous cystic structure with surrounding myxoid stroma.

H&E, 10x. Markedly enlarged villus with myxoid stroma.

Figure 3: H&E, 10x. Markedly enlarged villus with myxoid stroma.

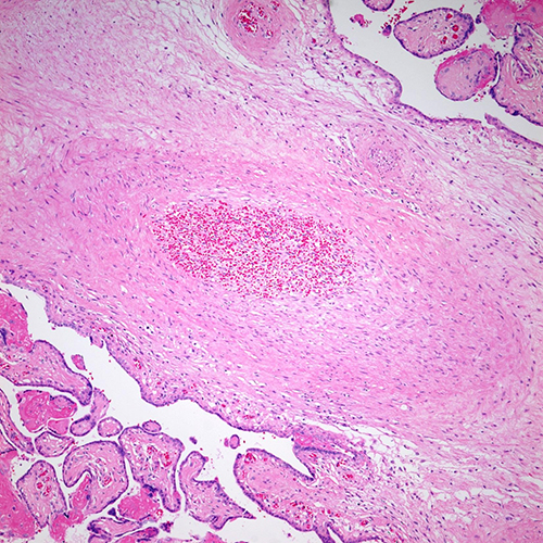
H&E, 10x. Stem villus vessel showing luminal obliteration and associated fibrointimal proliferation, consistent with late stages of thrombosis.

Figure 4: H&E, 10x. Stem villus vessel showing luminal obliteration and associated fibrointimal proliferation, consistent with late stages of thrombosis.

H&E, 10x. Terminal villi showing enlargement and increased numbers of capillaries.

Figure 5: H&E, 10x. Terminal villi showing enlargement and increased numbers of capillaries.

Immunohistochemical stain for p57, 10x. Immunostain highlights the cytotrophoblastic cells located at the periphery of the abnormally large villi; the remaining stromal cells within the villi are completely negative.

Figure 6: Immunohistochemical stain for p57, 10x. Immunostain highlights the cytotrophoblastic cells located at the periphery of the abnormally large villi; the remaining stromal cells within the villi are completely negative.

Diagnosis

Placental mesenchymal dysplasia

Discussion

Placental mesenchymal dysplasia (PMD) is a rare form of abnormal placental development characterized by placentomegaly, stem-villous hydropic cyst formation, abnormal villous stroma, and abnormal fetal vessels. The etiology is thought to be genetic in nature, arising from an imbalance in paternally expressed, maternally imprinted fetal growth promoting genes (e.g., IGF2, encodes insulin-like growth factor 2) and maternally expressed, paternally imprinted fetal growth inhibiting genes (e.g., CDKN1C, encodes p57, a cell-cycle regulator). The mechanism by which this occurs is a phenomenon known as androgenetic-biparental mosaicism, where the fetal tissues are a mosaic of two distinct genotypes; one consisting of a normal, biparentally inherited set of chromosomes, and another with only paternally inherited chromosomes (or loss of heterozygosity at certain key loci). Parts of the resulting placental mosaic where we see the characteristic gross abnormalities (e.g., grape-like cysts) are thought to be derived from cells that exhibit diandric diploidy, at least at the 11p15.5 locus which is a hotspot for the growth promoters and inhibitors whose imbalance leads to PMD. Exclusive paternal representation of these genes, which are believed to be opposing forces in the same molecular pathway, leads to overexpression of IGF-2 and underexpression of CDKN1C, resulting in net overgrowth. Interestingly, this mosaicism exists on a spectrum, with cases reported to have 30-100% involvement.

The 11p15.5 locus is also implicated in Beckwith-Wiedemann syndrome (BWS), a fetal overgrowth syndrome characterized by macrosomia, organomegaly, hemihypertrophy, macroglossia, and omphalocele; roughly 20% of cases of PMD are associated with BWS. PMD has a strong female preponderance, with more than 80% of cases being associated with a female fetus. This may be explained by the fact that generally a minority of fetal somatic tissues contain the abnormal androgenetic lineage, as 46,YY cells are nonviable.

Clinical findings associated with PMD include molar changes on ultrasound, normal-to-increased maternal serum β-hCG, and increased maternal serum alpha-fetoprotein. Fetuses can appear completely normal, small for gestational age, or hydropic; they can also show changes suggestive of BWS. About a third of reported cases are associated with fetal demise.

A diagnosis of PMD can be difficult to make and requires correlation with characteristic histologic findings (stem villous cysts, abnormally enlarged villi with hypervascularity, stem vessel obliteration, chorionic plate vessel dilation), clinical features, and results of molecular/cytogenetic testing. Differential diagnoses include both partial and complete hydatidiform moles, as well as degenerative hydropic changes. Karyotyping can assist in ruling out a partial mole, which harbors a triploid genotype, whereas PMD is diploid. PCR and methylation studies can determine the balance (or lack thereof) in parental inheritance and differential imprinting. Lack of immunohistochemical staining for the p57 protein (encoded by the CDKN1C gene) in the placental villous stroma is useful as a surrogate marker for uniparental disomy, as the CDKN1C gene is normally paternally imprinted/maternally expressed, and its absence indicates complete paternal inheritance of at least that portion of the genome.

References
  1. Parveen, Zahida, et al. "Placental mesenchymal dysplasia." Archives of pathology & laboratory medicine 131.1 (2007): 131-137.
  2. Sudano, Maria Chiara, et al. "Placental mesenchymal dysplasia, a case of intrauterine sudden death in a normal-sized fetus." Journal of prenatal medicine 7.1 (2013): 9.
  3. Johnson, Sheryl L., Lauren C. Walters-Sen, and Jerzy W. Stanek. "Placental Pathology in Placental Mesenchymal Dysplasia with 13q12. 11 Deletion and a 25-Week Gestation Female Infant." The American journal of case reports 19 (2018): 369.
  4. Soejima, Hidenobu, and Ken Higashimoto. "Epigenetic and genetic alterations of the imprinting disorder Beckwith–Wiedemann syndrome and related disorders." Journal of human genetics 58.7 (2013): 402.
  5. ExpertPath (www.expertpath.com)
  6. Ernst, Linda M. "Placental mesenchymal dysplasia." Journal of Fetal Medicine 2.3 (2015): 127-133.
  7. Kaiser-Rogers, Kathleen A., et al. "Androgenetic/biparental mosaicism causes placental mesenchymal dysplasia." Journal of medical genetics 43.2 (2006): 187-192.
  8. Maher, Eamonn R., and Wolf Reik. "Beckwith-Wiedemann syndrome: imprinting in clusters revisited." The Journal of clinical investigation 105.3 (2000): 247-252.
Have Questions or Need Help?

If you have questions or would like to learn more about the Anatomic and Clinical Pathology Residency Program at Cedars-Sinai, please call or send a message to Academic Program Coordinator, LeeTanya Marion-Murray.

Department of Pathology and Laboratory Medicine
8700 Beverly Blvd., Room 8709
Los Angeles, CA 90048-1804