August Case 2021
Clinical history
A male patient in his 50s with a remote medical history of Guillain-Barre, left parietal infarct and seizure disorder, renal cell carcinoma, presented in the ED with altered mental status with associated confusion and somnolence in June 2015. MRI found a 2.5cm rim enhancing right parietal solitary mass with associated edema and possible central necrosis (Figure 1A). Patient underwent craniotomy for tumor resection. Pathology was of a glioblastoma. In house immunostains (IHC) showed negativity of Isocitrate dehydrogenase 1 (IDH1) mutations and high percent of MGMT staining. FISH showed no EGFR amplification.



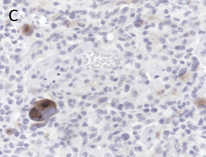
A. T1-post contrast MRI showing a right parietal, rim-enhancing lesion. B. H&E of the tumor showing endothelial proliferation with palisading necrosis C. ALK positively in ~5% of tumor cells.
Clinical course
Patient underwent a standard therapy with field radiation and temozolomide therapy which followed by adjuvant cycles of temozolomide chemotherapy. Subsequent studies by Foundation One detected point mutations in NF1 and ESR1, loss of CDKN2A/B and TERT promoter mutation. IHC analysis by Caris identified positivity for ALK, no evidence of IDH-1 and IDH-2 mutations by NGS and lack of promoter methylation on MGMT. We repeated ALK IHC in house and observed that only about 5% of tumor cells were positive (Figure 1C). The patient was started on ALK inhibitor Crizotinib in September 2015. He also underwent a total of 12 cycles of Temodar treatment (July 2015 to August 2016), and continued Crizotinib therapy till July 2020. Patient remained relatively stable until June 2021, but eventually progressed and expired shortly thereafter with evidence of white matter hemorrhage in a field of irradiation.
Discussion
Glioblastoma is the most frequent malignant brain tumor in adults, accounting for approximately 40-50% of all primary malignant tumors in the brain. The tumor most often centered in the subcortical white matter and deeper grey matter of the cerebral hemispheres. On imaging study, glioblastomas are irregularly shaped and have a ring-shaped zone of contrast enhancement around central area of necrosis. Typical pathologic features include prominent microvascular proliferation and palisading necrosis.
Glioblastoma is a highly aggressive cancer with a median overall survival of 14 months. In contrast to a typical pattern of molecular alterations with overexpression/amplification and mutations in EGFR/PDGF/FGF pathway this patient's tumor showed the expression of ALK. Curiously, an addition of ALK inhibitor to his treatment regime showed a possible clinical benefit by apparently slowing down tumor progression and prolonged patient's life. As selection of patients for specific therapy is becoming a reality, choosing targeted therapy using biologic signatures holds considerable promise.
Referenes
- Kessler T, Sahm F, Sadik A, Stichel D, Hertenstein A, Reifenberger G, Zacher A, Sabel M, Tabatabai G, Steinbach J, Sure U, Krex D, Grosu AL, Bewerunge-Hudler M, Jones D, Pfister SM, Weller M, Opitz C, Bendszus M, von Deimling A, Platten M, Wick W. Molecular differences in IDH wildtype glioblastoma according to MGMT promoter methylation. Neuro Oncol. 2018 Feb 19;20(3):367-379.
- Felsberg J, Hentschel B, Kaulich K, Gramatzki D, Zacher A, Malzkorn B, Kamp M, Sabel M, Simon M, Westphal M, Schackert G, Tonn JC, Pietsch T, von Deimling A, Loeffler M, Reifenberger G, Weller M; German Glioma Network. Epidermal Growth Factor Receptor Variant III (EGFRvIII) Positivity in EGFR-Amplified Glioblastomas: Prognostic Role and Comparison between Primary and Recurrent Tumors. Clin Cancer Res. 2017 Nov 15;23(22):6846-6855.
- Labussière M, Boisselier B, Mokhtari K, Di Stefano AL, Rahimian A, Rossetto M, Ciccarino P, Saulnier O, Paterra R, Marie Y, Finocchiaro G, Sanson M. Combined analysis of TERT, EGFR, and IDH status defines distinct prognostic glioblastoma classes. Neurology. 2014 Sep 23;83(13):1200-6.
- Hegi ME, Diserens AC, Gorlia T, Hamou MF, de Tribolet N, Weller M, Kros JM, Hainfellner JA, Mason W, Mariani L, Bromberg JE, Hau P, Mirimanoff RO, Cairncross JG, Janzer RC, Stupp R. MGMT gene silencing and benefit from temozolomide in glioblastoma. N Engl J Med. 2005 Mar 10;352(10):997-1003.
- Chiba R, Akiya M, Hashimura M, Oguri Y, Inukai M, Hara A, Saegusa M. ALK signaling cascade confers multiple advantages to glioblastoma cells through neovascularization and cell proliferation. PLoS One. 2017 Aug 24;12(8):e0183516.