May 2019 Case
Authors
KristineAstvatsaturyan,MD(fellow),DavidFrishberg,MD(attending)
Subject: Cytopathology
Clinical History
A woman aged 82 years presented with shortness of the breath, atrial fibrillation, and enlarged supraclavicular lymph node. The patient had a remote (>10 years) history of bilateral lung adenocarcinomas (Figure 1) and was status post wedge resection with no subsequent therapy. There also was a history of low-grade B-cell lymphoma in 2014 (Figure 2).
Physical examination revealed 2.0 x 2.0cm, palpable, non-tender left scalene lymph node. Review of systems was otherwise unremarkable.
Computed tomography of the chest demonstrated significant diffuse mediastinal and subcarinal lymphadenopathy, as well as extensive lytic bone lesions, and was presumed to represent recurrent metastatic lung cancer vs progressive lymphoma. Flow cytometry analysis of supraclavicular lymph node showed no monoclonal B-cell or abnormal T-cell population.
Fine Needle Aspiration
A supraclavicular lymph node fine needle aspiration was performed. The aspirate was hypercellular, demonstrating abundant small, round-to-oval cells with stippled chromatin, inconspicuous nucleoli and numerous mitoses (Figure 3). Cell block preparation with immunohistochemistry performance revealed tumor cells negative for CD20, TTF-1 and Melan-1 immunostains (Figure 4). Most of the neoplastic cells expressed dot-like staining with antibodies to Pancytokeratin AE1/AE3 and CAM 5.2. Similar crisp, dot- like perinuclear immunoreactivity with antibodies to cytokeratin 20 and positive cytoplasmic immunoexpression of synaptophysin (Figure 4) established the diagnosis of metastatic Merkel cell carcinoma (MCC).




Figure 1. Lung adenocarcinoma on Hematoxylin & Eosin stain (A-C), confirmed by TTF-1 immunoreactivity (D)




Figure 2. Low grade B-cell lymphoma on Hematoxylin & Eosin (A, B), confirmed by CD20 immunopositivity (C), absence of CD3 immunoexpression (D).




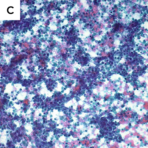
Figure 3. Fine needle aspiration specimen from a supraclavicular lymph node shows population of small, round- to-oval neoplastic cells with stippled chromatin. Diff-Quick stain (A, B) and Papanicolaou stain (C, D)






Figure 4. Cell block. Hematoxylin & Eosin (A). Neoplastic cells show negative CD20 (B), TTF-1 (C) and Melan A (D) immunoreactivity, which rule out the differential diagnosis of lymphoma, metastatic carcinoma and melanoma. Dot-like immunoexpression of Cytokeratin 20 (E) and diffuse positive synaptophysin cytoplasmic immunoreactivity (F) support diagnosis of Merkel cell carcinoma
Diagnosis
Metastatic Merkel cell carcinoma (MCC).
A subsequent lymph node excision histologically confirmed MCC. The patient was referred for medical and radiation oncology and started chemotherapy but was lost to follow-up approximately 6 months later.
Discussion
This patient illustrates the protean clinical presentations of MCC and the clinical and cytologic challenges associated with this neoplasm. There was no known primary site of the tumor. Lymphadenopathy was interpreted radiologically as metastatic carcinoma or progressive lymphoma. Cytologic misinterpretation also can occur, especially in the clinical view of prior malignancies.
The cytologist must learn to suspect MCC in FNA samples that demonstrate features of a high-grade neuroendocrine tumor in elderly. Perinuclear dotlike immunoreactivity with AE1/AE3, CAM5.2, and CK20 is useful.
Epidemiology
MCC is a relatively rare but highly aggressive cutaneous neuroendocrine neoplasm that was described first by Cyril Toker in 1972.1 MCC is most commonly located in the head and neck regions (37%-50%) and the extremities (40%-44%).2,3 Less commonly, MCC arises in the buttocks (9%-16%) and trunk (4%- 8%).3,4 Most cases occur in elderly patients (age range, 60-70 years); however, MCC may present earlier in immunosuppressed patients.5 MCC occurs mainly in Caucasians, with few reports in African Americans.6 Most reports indicate a slightly higher incidence among men.3,6 The data also indicate that MCC incidence rates have increased 3-fold over the last 20 years.7 MCC is more common in immunosuppressed patients than in the normal population. This includes patients on chronic immunosuppressive therapy, patients with HIV, transplantation recipients, and patients with hematologic malignancies.8
Etiology
The exact etiology of MCC remains unclear but is likely multifactorial. The recently described Merkel cell polyomavirus (MCV) is suspected to be an agent important in the oncogenesis of MCC.5
Sunlight may also be a factor, because MCC is identified primarily in areas that receive actinic damage, suggesting that ultraviolet radiation may play a role.9 However, a significant number of tumors arise on non-sun-exposed regions.
The chromosomal abnormality most frequently reported in MCC is a deletion of the short arm of chromosome 1 (1p36).10 Deletions involving 1p35-36 are similar to those described for malignant melanoma, pheochromocytoma, and neuroblastoma, tumors known to originate from neural crest cells.11
Clinical Features
MCC typically presents as a painless, solitary, pink-purple to red-brown, dome-shaped papule or plaque 2,3 on sun exposed skin of elderly or immunocompromised individuals. MCC size at presentation ranges from 0.2 cm to 23 cm.12 Most MCCs are diagnosed from biopsies submitted as suspected basal cell carcinoma, squamous cell carcinoma, adnexal tumors, pyogenic granuloma, lymphoma, or melanoma.13,14,15 One-third of patients with MCC develop a local recurrence within after 1 year of excision.16 In 10% to 20% of patients with metastatic MCC, the primary tumor is not identified.
Cytomorphology
FNA can be a useful tool for diagnosing MCC but requires awareness of the tumor’s ability to mimic other neoplasms. Aspirate smears are moderately to highly cellular and contain singly or loosely cohesive, relatively monomorphic cells with scanty-to-inapparent cytoplasm resembling small cell neuroendocrine carcinoma. Cell nuclei are rounded with smooth nuclear membranes. Apoptosis and mitotic figures are apparent, but their frequency varies. Aggregates of intermediate filaments (blue bodies), similar to those observed in pulmonary small cell carcinoma, are sometimes present. These features may be an enormous challenge because of the wide range of differential diagnosis, including the "small round blue cell tumors": small cell carcinoma, lymphoma, and other skin-associated tumors like melanoma, basal cell carcinoma, and adnexal tumors.17
Ancillary Studies
Differentiating MCC from its mimics requires the use of immunohistochemistry (Table 1). MCC tumor cells typically express both epithelial and neuroendocrine markers. Several epithelial markers, such as CAM 5.2, AE1/AE3, CK20, and epithelial membrane antigen (EMA) react with MCC.18,19 The majority of MCCs are at least focally positive for CK20, typically in a paranuclear, dot-like pattern.21 Neuroendocrine markers (chromogranin, synaptophysin, CD56, and neurofilament) also are positive in most tumors.21 Flow cytometry is useful if there is a history of or suspicion of coexisting lymphoma, as illustrated in our patient.

Table 1. Mimics and Pitfalls, Immunohistochemistry
Staging
The MCC staging system is based on tumor size, lymphatic spread, and distant metastasis and is used to determine primary, adjuvant, and palliative therapy.4,22
Prognostic Indicators
Some studies showed that 10-year relative survival rate for patients with localized MCC was 71% and the rate for those with distant disease was 20%. The 10-year relative survival rate based on tumor size is 60% for patients with tumors < 2 cm and approximately 40% for patients with tumors >2 cm. Recurrence reportedly is common at a rate of approximately 40%.23
Findings that had a statistically significant correlation with poor outcome included depth of tumor invasion, diffuse growth pattern, and lymphovascular invasion.2,24 Factors that are associated with an improved prognosis include tumor size <2 cm, women, and local radiation treatment.25 Patients who have tumors located in the upper extremities fare better than patients with tumors located in the head and neck, trunk, and lower extremities.13 Tumors on mucosal surfaces also appear to have a worse prognosis, probably because of greater access to vascular and lymphatic channels.26 Distant metastasis indicates a very poor prognosis and is the most important predictor of survival. The most common metastatic sites are lymph nodes followed by liver, bone, brain, lung, and gastrointestinal tract.9
Treatment
The optimal treatment for patients with MCC remains unclear. Current treatment includes Mohs or wide surgical excision and regional lymphadenectomy of any suspicious lymph nodes.27 Many protocols also advocate adjuvant chemotherapy and radiation therapy.28 Even with treatment, MCC has a strong propensity toward local recurrence, lymphatic spread, and distant metastasis.29
In conclusion, the incidence of MCC is rising. It is diagnosed most commonly in elderly or immunocompromised patients, and it has higher mortality than melanoma.30 Because of its nonspecific clinical presentation, MCC is rarely suspected before biopsy. Cytopathologists need to be aware of the deceptive presentation of this neoplasm and its cytologic and immunochemical features to correctly diagnose this insidious neoplasm.
References
- Toker C. Trabecular carcinoma of the skin. Arch Dermatol.1972;105:107-110.
- Andea AA, Coit DG, Amin B, Busam KJ. Merkel cell carcinoma: histologic features and prognosis. Cancer. 2008;113: 2549-2558.
- Akhtar S, Oza K, Wright J. Merkel cell carcinoma: report of 10 cases and review of the literature. J Am Acad Dermatol. 2000;43:755-767.
- Krasagaki K, Tosca AD. Overview of Merkel cell carcinoma and recent advances in research. Int J Dermatol. 2003;42:669-676.
- Feng H, Shuda M, Chang Y, Moore PS. Clonal integration of a polyomavirus in human Merkel cell carcinoma. Science.2008;319:1096-1100.
- Smith D, Messina J, Perrott R, et al. Clinical approach to neuroendocrine carcinoma of the skin (Merkel cell carcinoma). Cancer Control. 2000;7:72-83.
- Hodgson NC. Merkel cell carcinoma: changing incidence trends. J Surg Oncol. 2005;89:1-4.
- An KP, Ratner D. Merkel cell carcinoma in the setting of HIV infection. J Am Acad Dermatol. 2001;45:309-312.
- Bickle K, Glass LF, Messina JL, Fenske NA, Siegrist K. Merkel cell carcinoma: a clinical, histopathologic, and immunohistochemical review. Semin Cutan Med Surg. 2004;23:46-53.
- Van Giele M, Leonard H, Van Roy N, et al. Combined karyotyping, CGH and M-FISH analysis allows detailed characterization of unidentified chromosomal rearrangements in Merkel cell carcinoma. Int J Cancer. 2002;101:137- 145.
- Vortmeyer AO, Merino MJ, Boni R, Liotta LA, Cavazzana A, Zhuang Z. Genetic changes associated with primary Merkel cell carcinoma. Am J Clin Pathol. 1998;109:565-570.
- Hapcic K, Panchal J, Stewart J, et al. Giant Merkel cell carcinoma involving the upper extremity. Dermatol Surg. 2001;27:493-494.
- Gollard R, Weber R, Kosty MP, et al. Merkel cell carcinoma: review of 22 cases with surgical, pathologic, and therapeutic considerations. Cancer. 2000;88:1842-1851.
- Walsh N. Primary neuroendocrine (Merkel cell) carcinoma of the skin: morphologic diversity and implications thereof. Hum Pathol. 2001;32:680-689.
- Ball NJ, Tanhuanco-Kho G. Merkel cell carcinoma frequently shows histologic features of basal cell carcinoma: a study of 30 cases. J Cutan Pathol. 2007;34:612-619.
- Haag M, Glass LF, Fenske NA. Merkel cell carcinoma: diagnosis and treatment. Dermatol Surg. 1995;21:669- 683.
- Collins BT, Elmberger PG, Tani EM, Bjornhagen V, Ramos RR. Fine-needle aspiration of Merkel cell carcinoma of the skin with cytomorphology and immunocytochemical correlation. Diagn Cytopathol.1998;18:251-257.
- Leech SN, Kolar AJO, Barrett PD, et al. Merkel cell carcinoma can be distinguished from metastatic small cell carcinoma using antibodies to cytokeratin 20 and thyroid transcription factor 1. J Clin Pathol. 2001;54:727-729.
- Pulitzer MP, Amin BD, Busam KJ. Merkel cell carcinoma: review. Adv Anat Pathol. 2009;16:135-144.
- Scott MP, Helm KF. Cytokeratin 20: a marker for diagnosing Merkel cell carcinoma. Am J Dermatopathol. 1999;21:16-20.
- Schmidt U, Muller U, Metz KA, et al. Cytokeratin and neurofilament protein staining in Merkel cell carcinomaof the small cell type and small cell carcinoma of the lung. Am J Dermatopathol. 1998;20:346-351.
- Allen PJ, Zhang ZF, Coit DC. Surgical management of Merkel cell carcinoma. Ann Surg. 1999;229:97-105.
- Medina-Franco H, Urist MM, Fiveash J, et al. Multimodality treatment of Merkel cell carcinoma: case series and literature review of 1024 cases. Ann Surg Oncol. 2001;8:204-208.
- Brown M. Recognition and management of unusual cutaneous tumors. Dermatol Clin. 2000;18:543-552.
- Shaw JHF, Rumball E. Merkel cell tumor: clinical behavior and treatment. Br J Surg. 1991;78:138-142.
- Mulder DC Rosenberg AJ, Storm-Bogaard PW, Koole R. Spontaneous regression of advancedMerkel-cell-like small cell carcinoma of the parotid gland. Br J Oral Maxillofac Surg. 2010;48:199-200.
- Allen PJ, Bowne WB, Jaques DP, Brennan MF, Busam K, Coit DG. Merkel cell carcinoma: prognosis and treatment of patients from a single institution. J Clin Oncol. 2005;23:2300-2309.
- Poulsen M, Rischin D, Walpole E, et al. High-risk Merkel cell carcinoma of the skin treated with synchronous carboplatin/etoposide and radiation: a Trans-Tasmanian Radiation Oncology Group study—TROG 96:07. J Clin Oncol. 2003;21:4371-4376.
- Meeuwissen JA, Bourne RG, Kearsley JH. The importance of postoperative radiation in the treatment of Merkel cell carcinoma. Int J Radiat Oncol Biol Phys. 1995;31:325-331.
- Lemos B, Nghiem P. Merkel cell carcinoma: more deaths but still no pathway to blame. J Invest Dermatol. 2007;127:2100-2103.
Have Questions or Need Help?
If you have questions or would like to learn more about the Anatomic and Clinical Pathology Residency Program at Cedars-Sinai, please call or send a message to Academic Program Coordinator, LeeTanya Marion-Murray.
Department of Pathology and Laboratory Medicine
8700 Beverly Blvd., Room 8709
Los Angeles, CA 90048-1804